Researchers at Stanford University have developed “decoy receptor” molecules that inhibit the growth of both multiple myeloma (MM) and diffuse large B cell lymphoma (DLBCL) in mice.
The molecules, described in a study published July 26 in the Journal of Experimental Medicine (JEM), were also found to be nontoxic in monkeys, suggesting they could be used to treat humans with either of these deadly diseases, which are two of the most common blood cancers around the world.
Both MM and DLBCL are cancers that develop from the body’s antibody-producing B cells. The five-year survival rate for patients diagnosed with either of these diseases is less than 60%.
In recent years, the use of genetically engineered CAR T cells to specifically kill cancerous B cells has proved effective in some patients. However, this immunotherapeutic approach often comes with significant side effects and is unsuitable for elderly patients, in whom MM and DLBCL are particularly common.
“Safe and effective targeted therapies are therefore still needed for patients who exhaust currently available treatment options,” says Dr. Yu Rebecca Miao, an instructor in the Department of Radiation Oncology at Stanford University. Miao led the new study with Dr. Kaushik Thakkar of Stanford University and Professor Amato J. Giaccia, who now works at the Oxford Institute for Radiation Oncology at the University of Oxford. The study was supported, in part, by the Medical Research Council UK.
Miao and colleagues suspected that two cell signaling proteins named APRIL and BAFF could be effective therapeutic targets for MM and DLBCL.
By binding to several different cell surface receptor proteins, APRIL and BAFF control the development of normal B cells.
But elevated levels of APRIL and BAFF promote the growth and survival of malignant B cells, facilitating blood cancer progression and treatment resistance. In particular, APRIL is linked to the progression of MM, whereas BAFF is associated with DLBCL.
BCMA is a B cell surface receptor that binds to both APRIL and BAFF. Miao and colleagues investigated whether a soluble version of BCMA, unattached to the B cell surface, would act as a “decoy receptor” to mop up excess APRIL and BAFF and prevent these proteins from driving the growth of cancerous B cells.
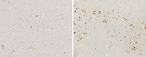
The researchers found that soluble BCMA was able to bind to APRIL and inhibit the growth of MM in mice.
However, the decoy receptor only bound weakly to BAFF and was therefore unable to reduce the growth of DLBCL.
Miao and colleagues therefore engineered a mutant version of soluble BCMA that binds strongly to both APRIL and BAFF. This molecule, dubbed sBCMA-Fc V3, was able to impede the growth of both MM and DLBCL in rodents.
Notably, sBCMA-Fc V3 also reduced the activity of APRIL and BAFF in cynomolgus monkeys without causing any significant side effects. This suggests that treatment with sBCMA-Fc V3 or similar decoy receptors could be safe and effective in humans.
“Collectively, our data support sBCMA-Fc V3 as a clinically viable candidate for the treatment of MM and DLBCL,” Miao says. “The biological functions of BAFF and APRIL are not limited to B cell malignancies but extend to autoimmune disorders and other diseases triggered by pathological B cells, suggesting an even broader clinical indication for sBCMA-Fc V3.”
Source: Rockefeller University Press
Article: Miao et al. 2022. J. Exp. Med. https://rupress.org/jem/article-lookup/doi/10.1084/jem.20220214?PR
Image Credit: © 2022 Miao et al. Originally published in the journal of experimental medicine
We are an independent charity and are not backed by a large company or society. We raise every penny ourselves to improve the standards of cancer care through education. You can help us continue our work to address inequalities in cancer care by making a donation.
Any donation, however small, contributes directly towards the costs of creating and sharing free oncology education.
Together we can get better outcomes for patients by tackling global inequalities in access to the results of cancer research.
Thank you for your support.