News

Spatial analysis finds immune-rich pockets in diffuse large B-cell lymphoma tumors with clear treatment potential

23 Oct 2025
Spatial analysis finds immune-rich pockets in diffuse large B-cell lymphoma tumors with clear treatment potential
  • Study identified seven distinct and unique microenvironments within diffuse large B-cell lymphoma (DLBCL)
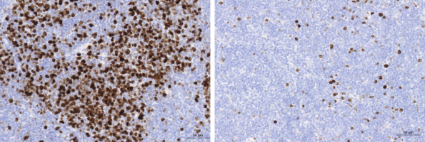
  • Immune-privileged DLBCLs contain many T cells mixed with tumour B cells and show signs that those T cells are active and ready to attack
  • Study is a key milestone toward understanding how tumours and a patient’s immune system interact to shape treatment outcomes

By analysing the tumour environment of diffuse large B-cell lymphoma (DLBCL), researchers from The University of Texas MD Anderson Cancer Centre identified seven distinct cellular microenvironments, providing a framework to develop therapies that will engage a patient’s immune system to attack cancer cells.

Each microenvironment showed a different mix of cells and its own pattern of communication between tumour B-cells and immune cells.

The study, published in Nature Genetics, was co-led by Michael Green, Ph.D, professor of Lymphoma/Myeloma, and Linghua Wang, M.D., Ph.D., professor of Genomic Medicine.

“This study maps the immune landscapes of DLBCL in unprecedented detail and reveals distinct cellular communities, referred to as niches, that shape how tumours and immune cells interact,” Green said.

What led researchers to investigate the environment of DLBCL tumour cells?

DLBCL cells often have wide variations, which can impact responses to therapies.

Researchers analysed 78 DLBCL tumours using advanced methods that map where genes and proteins are active inside the tumour tissue, gaining a stronger understanding of how local immune cells and tumour cells interact.

Tumours arising in immune-privileged sites – those that are protected from an immune response – showed especially high numbers of T cells mixed directly with tumour B cells.

They also carried gene activity patterns indicating T cell activation and the potential to attack cancer cells.

These findings show that the immune system and tumour cells organise into specific local environments that shape how they behave and respond to therapy.

Why is it important to understand these microenvironments?

This study advances an understanding of why DLBCL cells vary so much between patients, with  findings pointing to new ways of designing treatments that target not only the cancer cells but also the local immune environment that supports or suppresses antitumor responses.

Future efforts can use these definitions to guide more precise, immune-informed therapies for DLBCL.

“By identifying inflammatory pockets where T cells are already active, we now have clear, tractable targets to develop therapies that engage the patient’s own immune system alongside treatments directed at the cancer,” Wang said.

Article: Nature Genetics.

Source: University of Texas M. D. Anderson Cancer Center