Insilico Medicine (“Insilico”), a global leader in AI-powered drug discovery, and Atossa Therapeutics (“Atossa”) (Nasdaq: ATOS), a clinical-stage biopharmaceutical company developing novel treatments for breast cancer and other serious conditions, announce the publication of a joint study evaluating the potential of (Z)-endoxifen for glioblastoma multiforme (GBM).
The peer-reviewed article, now published in Nature’s Scientific Reports, represents one of the most comprehensive AI-enabled analyses to date exploring whether endoxifen, an active metabolite of tamoxifen with known activity in endocrine-resistant breast cancer, may offer new therapeutic opportunities for one of the deadliest malignant brain tumours in adults.
The study aimed to identify new oncology indications with high therapeutic potential for endoxifen, as monotherapy or in combination, by applying Insilico’s AI-powered PandaOmics platform across a wide range of cancer types based on its mechanisms of action.
Through this systematic evaluation, GBM emerged as a top candidate for further investigation.
The publication highlights progress in understanding glioblastoma, an aggressive primary brain tumour with a five-year survival rate of roughly 4%.
By applying multi-omics and AI-enabled methods—including transcriptomic integration, computational modelling, single-cell sequencing, survival analysis, and experimental validation—the study offers mechanistic insights that support further exploration of endoxifen’s potential role in this setting.
(Z)-Endoxifen, already clinically active in hormone-resistant breast cancer and known to act through both oestrogen-dependent and oestrogen-independent mechanisms, has long been considered a promising molecule for broader oncology applications, but has not been systematically explored in GBM.
Using PandaOmics, researchers evaluated more than 900 cancer indications with weighted transcriptomic signatures from endoxifen-treated datasets.
PandaOmics combined differential expression, pathway enrichment, protein–protein interaction networks, mechanistic NLP, and disease unmet-need modelling, ultimately ranking GBM among one of the highest-opportunity indications.
AI-driven analyses identified more than 1,400 genes shared between GBM tumours and endoxifen-treated cells, revealing strong reversal of biological programmes that drive tumour growth and treatment resistance.
Endoxifen was predicted to counteract pathways associated with uncontrolled proliferation, inflammation, metabolic dysregulation, and aggressive tumour behaviour.
Single-cell sequencing further pinpointed key malignant-cell genes linked to poor survival and aggressive subtypes, all of which were downregulated by endoxifen.
“This collaboration with Insilico Medicine provides a whole new indication in which we might explore the utility of endoxifen, and potentially significant new opportunities to address an extremely underserved set of cancer patients,” said Steven Quay, M.D., Ph.D., CEO of Atossa Therapeutics.
“Most of our joint projects have focused on advancing women’s health, but this study allowed us to extend our work into glioblastoma, a disease with an urgent and unmet need, and not unlike other highly ranked indications, including but not limited to Duchenne muscular dystrophy (DMD) and multiple gynaecologic-related cancers for which (Z)-Endoxifen may have excellent therapeutic outcomes. The results of our collaboration with Insilico highlight how AI-enabled discovery can uncover entirely new opportunities for a well-characterised molecule like endoxifen.”
Laboratory validation closely matched the computational predictions.
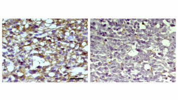
In vitro, (Z)-endoxifen significantly suppressed GBM cell proliferation and induced apoptosis, demonstrating greater cytotoxic activity than high-dose temozolomide and showing enhanced effects in combination.
In vivo studies confirmed that endoxifen was well tolerated across all doses.
Together, the multi-omic analyses and experimental findings highlight endoxifen as a promising therapeutic candidate for GBM and showcase how AI-powered discovery can reveal new opportunities for drug repurposing and cancer treatment innovation.
“Atossa is deeply committed to scientific leadership in the prevention and treatment of high risk breast cancers, and Insilico is honoured to collaborate with the company to advance genuine innovation and expand indications across different areas of oncology,” said Alex Zhavoronkov, Ph.D., Founder and CEO of Insilico Medicine.
“This publication represents one of the early fruits of our joint research, and much of our collaborative work remains unpublished. We are hopeful that these efforts will ultimately translate into meaningful therapeutic programmes.”
Harnessing state-of-the-art AI and automation technologies, Insilico has significantly improved the efficiency of preclinical drug development.
While traditional early-stage drug discovery typically requires 3 to 6 years, from 2021 to 2024 Insilico nominated 20 preclinical candidates, achieving an average turnaround - from project initiation to preclinical candidate (PCC) nomination - of just 12 to 18 months per programme, with only 60 to 200 molecules synthesised and tested in each programme.
Source: InSilico Medicine
We are an independent charity and are not backed by a large company or society. We raise every penny ourselves to improve the standards of cancer care through education. You can help us continue our work to address inequalities in cancer care by making a donation.
Any donation, however small, contributes directly towards the costs of creating and sharing free oncology education.
Together we can get better outcomes for patients by tackling global inequalities in access to the results of cancer research.
Thank you for your support.