El cáncer colorrectal constituye el tercer cáncer más común en el mundo occidental.
Su incidencia aumenta constantemente a medida que la población envejece, y a pesar de los recientes avances en la terapia del cáncer colorrectal, el cáncer hace metástasis en cada tercio de los pacientes con cáncer colorrectal, y una parte significativa de estos pacientes finalmente mueren a causa de la enfermedad.
Varias mutaciones en el ADN de las células epiteliales del intestino son críticas para la iniciación y el crecimiento del cáncer colorrectal. De ellas, la mutación del gen de la poliposis adenomatosa coli (APC) es la más común en los cánceres colorrectales. Esta mutación activa la proliferación celular, aumentando así el crecimiento del tumor.
El APC también regula la vía de señalización Wnt intracelular necesaria para la renovación constante del epitelio intestinal.
Entre los temas candentes en el campo de la investigación sobre células madre se encuentran los agonistas Wnt, R-spondins, varios de los cuales son críticos para la función de las células madre intestinales y la regeneración del epitelio intestinal. Se ha considerado que las R-spondinas impulsan la proliferación de las células cancerosas intestinales, por lo que se ha especulado que su inhibición podría figurar en las estrategias terapéuticas del futuro.
Sin embargo, el profesor de la academia Kari Alitalo y sus estudiantes de doctorado Marianne Lähde y Sarika Heino de la Universidad de Helsinki desafiaron este concepto y adoptaron un enfoque opuesto en sus estudios. En su nueva publicación en Gastroenterología, muestran que el tratamiento con R-spondin reduce el crecimiento de los tumores intestinales (adenomas) en la fase temprana del desarrollo del cáncer colorrectal.
"Basándonos en este hallazgo, proporcionamos un potencial fundamento novedoso para el tratamiento de los adenomas colorrectales, especialmente para los pacientes con poliposis adenomatosa familiar cuyas mutaciones de APC son hereditarias. La R-spondin actúa retardando la proliferación de las células tumorales y simultáneamente mejorando la función de las células epiteliales sanas en el intestino. Así, las células normales obtienen una ventaja competitiva sobre las células tumorales", dice Marianne Lähde.
La terapia génica redujo el crecimiento de las células de adenoma intestinal y al mismo tiempo apoyó la función de las células epiteliales intestinales sanas
Los investigadores desarrollaron una estrategia de terapia genética mediada por vectores de virus, en la que la producción de R-spondin 1 puede ser inducida desde el hígado al flujo sanguíneo y llevada a todo el cuerpo.
Cuando se inyectó el vector en ratones sanos, aumentó el crecimiento y la renovación del epitelio intestinal, como se esperaba.
Sin embargo, sorprendentemente, cuando el vector se administró a ratones portadores de tumores intestinales, el número de tumores disminuyó notablemente y los ratones vivieron significativamente más tiempo que sus homólogos sin terapia.
Cuando se analizó más a fondo el hallazgo a nivel celular, los investigadores descubrieron que la R-spondina suprimía el crecimiento y la proliferación y promovía la apoptosis de las células tumorales, apoyando simultáneamente la renovación de las células epiteliales intestinales sanas.
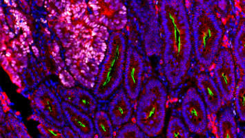
Los tumores tratados con R-spondin fueron evaluados más a fondo por un patólogo gastrointestinal, que determinó que cuanto más tiempo se continuaba con el tratamiento con R-spondin, más recordaba la histología del tumor a la estructura del intestino sano.
"De acuerdo con estos resultados, podemos concluir que R-spondin 1 da a las células epiteliales intestinales sanas una ventaja de crecimiento sobre las células tumorales. A continuación, las células sanas del intestino se hacen cargo de las células tumorales, la mayoría de las cuales son finalmente expulsadas y posiblemente incluso perdidas con las heces", dice Marianne Lähde, la primera autora del estudio.
Estos resultados son completamente nuevos e inesperados, y ha sorprendido a muchos expertos en el campo de la investigación con células madre.
En base a los nuevos hallazgos, se pueden considerar posibles nuevas estrategias de tratamiento, especialmente para los pacientes que sufren de mutaciones hereditarias de APC.
Fuente: Universidad de Helsinki
Imagen: Marianne Lähde
Somos una organización benéfica independiente y no estamos respaldados por una gran empresa o sociedad. Recaudamos cada centavo para elevar los estándares del cáncer a través de la educación. Puede ayudarnos a continuar nuestro trabajo para abordar las desigualdades en la atención del cáncer haciendo una donación.
Cualquier donación, por pequeña que sea, contribuye directamente a los costos de crear y compartir educación oncológica gratuita. Juntos podemos obtener mejores resultados para los pacientes abordando las desigualdades mundiales en el acceso a los resultados de la investigación del cáncer.
Gracias por tu apoyo.