En Colombia, cada año son diagnosticadas cerca de 2.802 personas con linfoma o cáncer linfático, considerado como el quinto cáncer más común en el mundo y la séptima causa de muerte por cáncer en el país.
El 15 de septiembre es el Día Mundial de este tipo de cáncer que se ha convertido en uno de los más frecuentes y a la vez de los más desconocidos por la población colombiana.
Un estudio realizado por la Coalición del Linfoma a 3.492 pacientes en 69 países incluido Colombia, demuestra que los colombianos tenemos un bajo conocimiento y comprensión de la enfermedad, además existe un alto porcentaje de evaluación equivocada por parte del médico general.
El estudio indica, además, que el 57 por ciento de los pacientes colombianos que participaron en el estudio se acercaron a su médico desde la aparición de los primeros síntomas en un plazo menor a seis meses, el 31 por ciento se demoró en consultar entre 6 y 12 meses y el 9 por ciento en un promedio mayor a un año.
El estudio demuestra que tan solo el 15 por ciento de los pacientes con linfoma en Colombia fueron diagnosticados correctamente. Estos datos corroboran que existe un alto porcentaje de evaluación equivocada por parte del médico general. De hecho entre los diagnósticos erróneos el 14 por ciento se diagnosticó como infección viral, el 13 por ciento como problema glandular, el 19 por ciento recibió otros diagnósticos, y el 17 por ciento presentó ausencia de diagnóstico.
Según la gerente general de la Fundación Colombiana de Leucemia y Linfoma, Margarita Arias, “como el linfoma es un tipo de cáncer poco conocido y su sintomatología se confunde con otras enfermedades, estamos impulsando campañas de sensibilización entre estudiantes de medicina de último año con el respaldo de varias facultades de medicina de Bogotá, con el fin de dar a conocer los síntomas de la enfermedad, sensibilizarlos frente a la importancia de un diagnóstico oportuno y resaltar la probabilidad de cura que tienen muchos pacientes, siempre que reciban tratamientos adecuados y sin interrupciones injustificadas”.
Dato
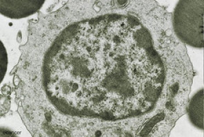
El Linfoma es un tipo de cáncer en la sangre que se caracteriza por la proliferación maligna de linfocitos (células del sistema inmunitario), generalmente dentro de los ganglios linfáticos, pero que a veces afecta también otros tejidos como el hígado y el bazo.
Es un cáncer que se inicia en el tejido linfático, y cuyo desarrollo en el organismo produce una disminución en el funcionamiento del sistema inmunológico (células encargadas de la defensa del organismo) que puede ser más severa cuanto más se haya diseminado la enfermedad.
El síntoma más común de los linfomas es ganglios linfáticos inflamados en el cuello, las axilas o la ingle y es muy importante saber que en las etapas tempranas de la enfermedad, la inflamación no causa incomodidad o dolor.
La pérdida de peso, fiebre sin causa aparente, sudoración profusa nocturna, picazón en la piel, fatiga y cansancio inusuales, son síntomas inespecíficos que muchas veces pueden hacer parte de otras enfermedades, razón por la cual muchos pacientes son diagnosticados de manera errónea con estados gripales, enfermedades de la piel, infecciones o problemas glandulares, entre otros.
Si no son tratados a tiempo, algunos tipos de linfoma pueden tener consecuencias fatales en un plazo de seis meses.
Fuente: La Tarde - Colombia
La Declaración Mundial sobre el Cáncer reconoce que para lograr reducciones importantes en las muertes prematuras, la educación innovadora y las oportunidades de capacitación para los trabajadores de la salud en todas las disciplinas de control del cáncer deben mejorar significativamente.
ecancer desempeña un papel fundamental en la mejora del acceso a la educación para el profesional médico. Todos los días ayudamos a médicos, enfermeras, pacientes y sus defensores a ampliar sus conocimientos y mejorar la calidad de la atención.
Gracias por tu apoyo.